OVARIAN CYSTS AND FERTILITY
Ovarian cyst may cause difficulty in conceiving depending on type & size of ovarian cyst.
MBBS, MD(OG), MRCOG(UK), FRM
Ovarian cyst may cause difficulty in conceiving depending on type & size of ovarian cyst.
What is ovarian cyst? When a fluid filled sac (cyst) is seen within the ovary
What is laparoscopy? Laparoscopy is a type of surgical procedure that allows doctor to visualise inside
How to check your ideal weight? You can know your ideal weight of your body
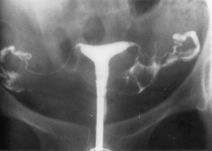
HSG is a special X-ray examination which looks at the inside of your womb (uterus)
Endometriosis is a condition where tissue similar to the inner lining of the womb(endometrium) is